Dentes alinhados, sorriso garantido!
Já aqui falámos como os dentes desalinhados não só tendem a não agradar esteticamente os pacientes, bem como interferem com o seu bem estar físico. No caso que lhe apresentamos aqui é visivel a alteração que os dentes alinhados provocam no sorriso e na face em geral do paxiente. Se é algo que também o incomoda e quer fazer algo sobre isso, temos as portas abertas para o receber!


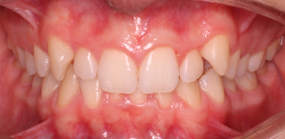
Sorriso do paciente antes de iniciar o tratamento.

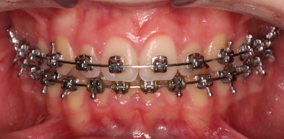
Durante o tratamento ortodôntico com recurso a aparelho fixo.

Sorriso final!

2021-07-09
