A Magia da Ortodontia!
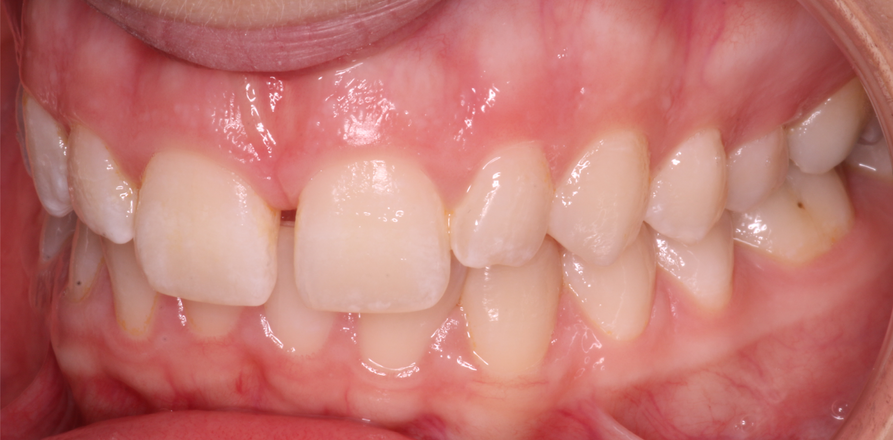
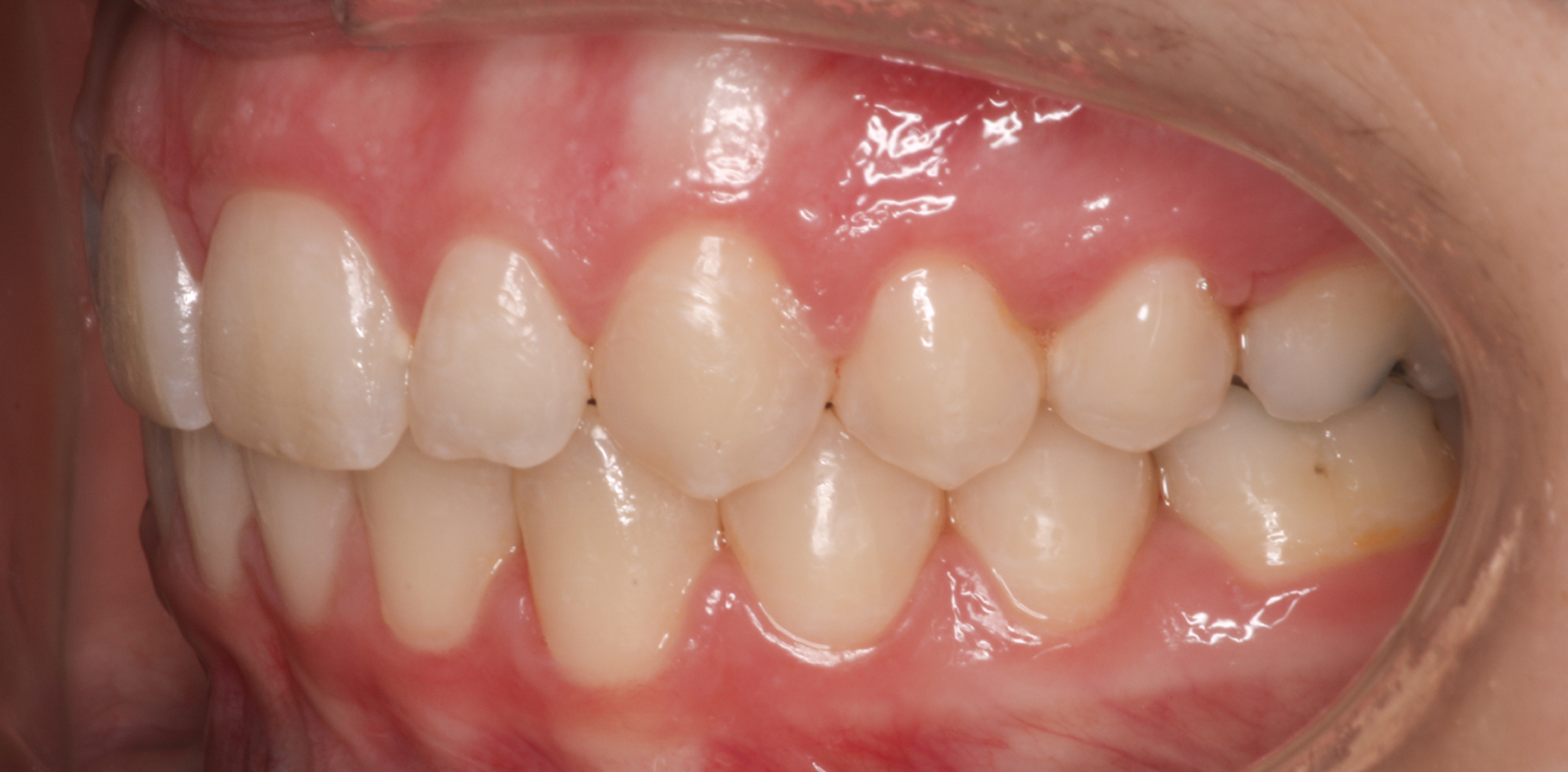
Hoje trazemos até si um caso que, à primeira vista e para um olhar menos profissional, apenas nos chama à atenção pelo espaço (diastema) que apresenta entre os dois dentes incisivos centrais superiores. Mas na verdade, este caso é muito mais complexo.

Veja como para além do diastema, a paciente apresenta também mordida profunda, isto é, existe uma sobreposição aumentada dos dentes superiores em relação aos dentes inferiores, ficando estes completamente cobertos.

A mordida profunda, caso não seja corrigida, afeta o natural desenvolvimento da mandíbula, o que causa consequências a nível estético, nomeadamente no perfil.

Para além das consequências estéticas, a parte funcional também fica condicionada, já que esta condição origina problemas oclusais, que podem levar a desconforto na ATM (articulação temporomandibular).

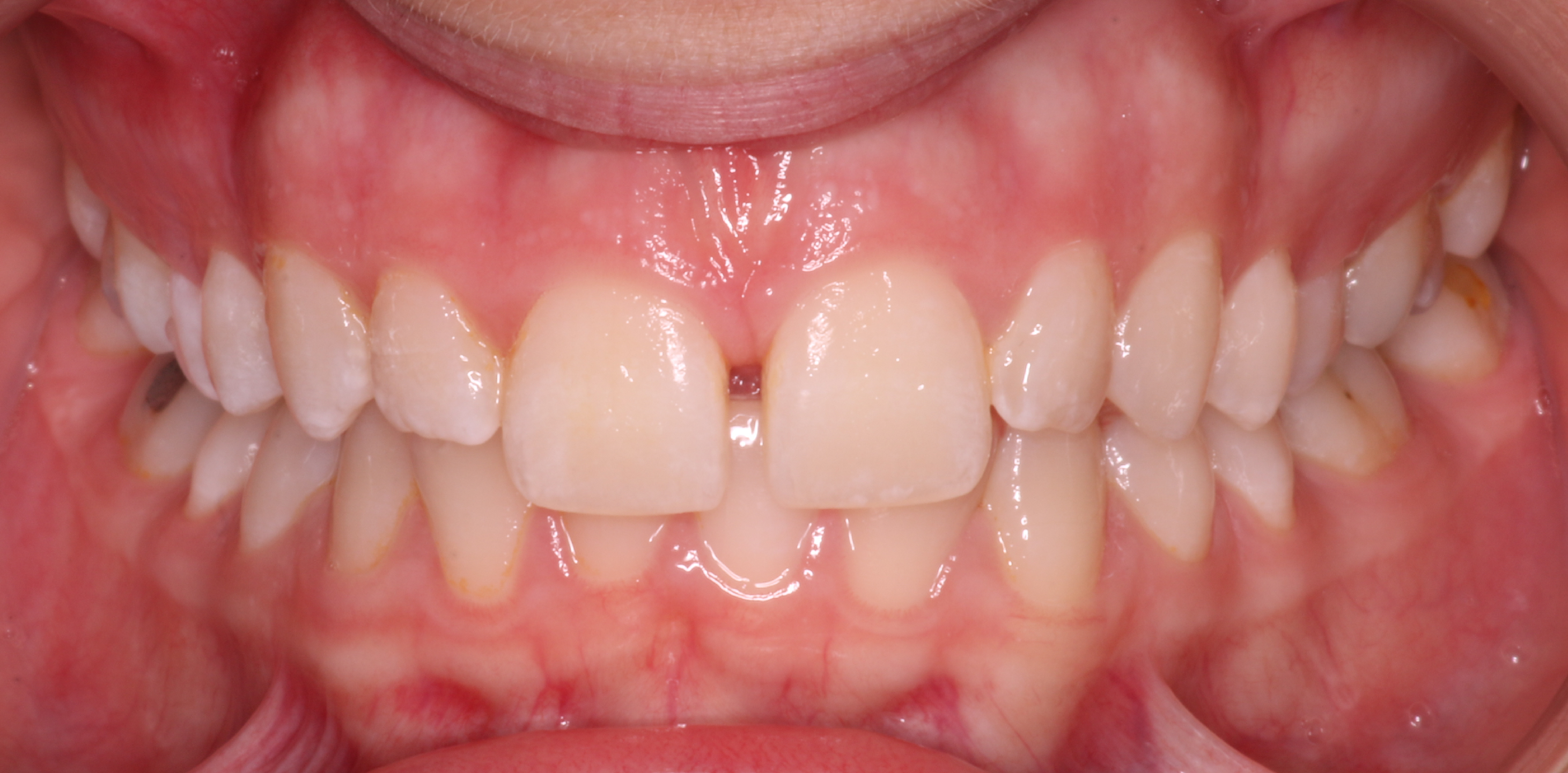
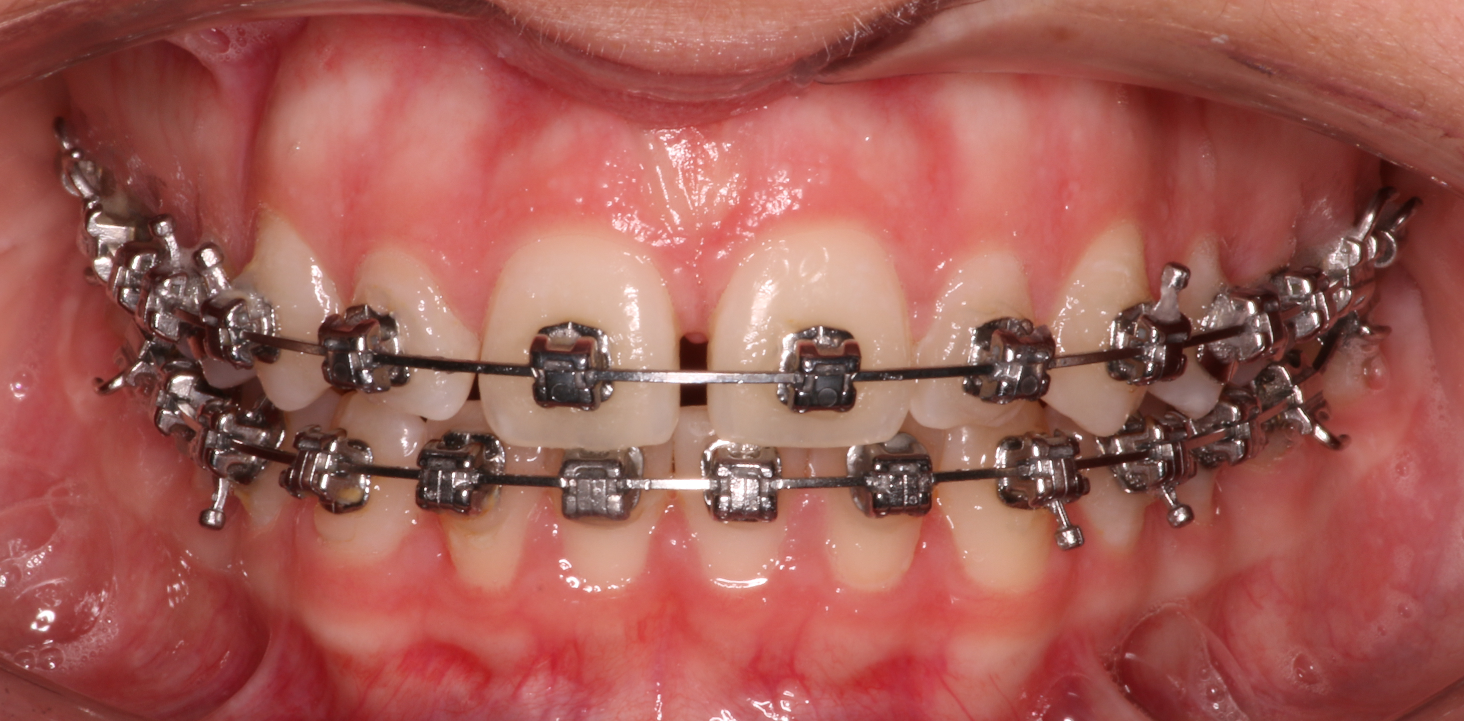
Assim, a solução é corrigir tanto a mordida profunda como o diastema recorrendo à ortodontia. Nesta fase do processo, podemos verificar que apesar do diastema ainda continuar presente, a paciente já apresentava uma melhor oclusão.

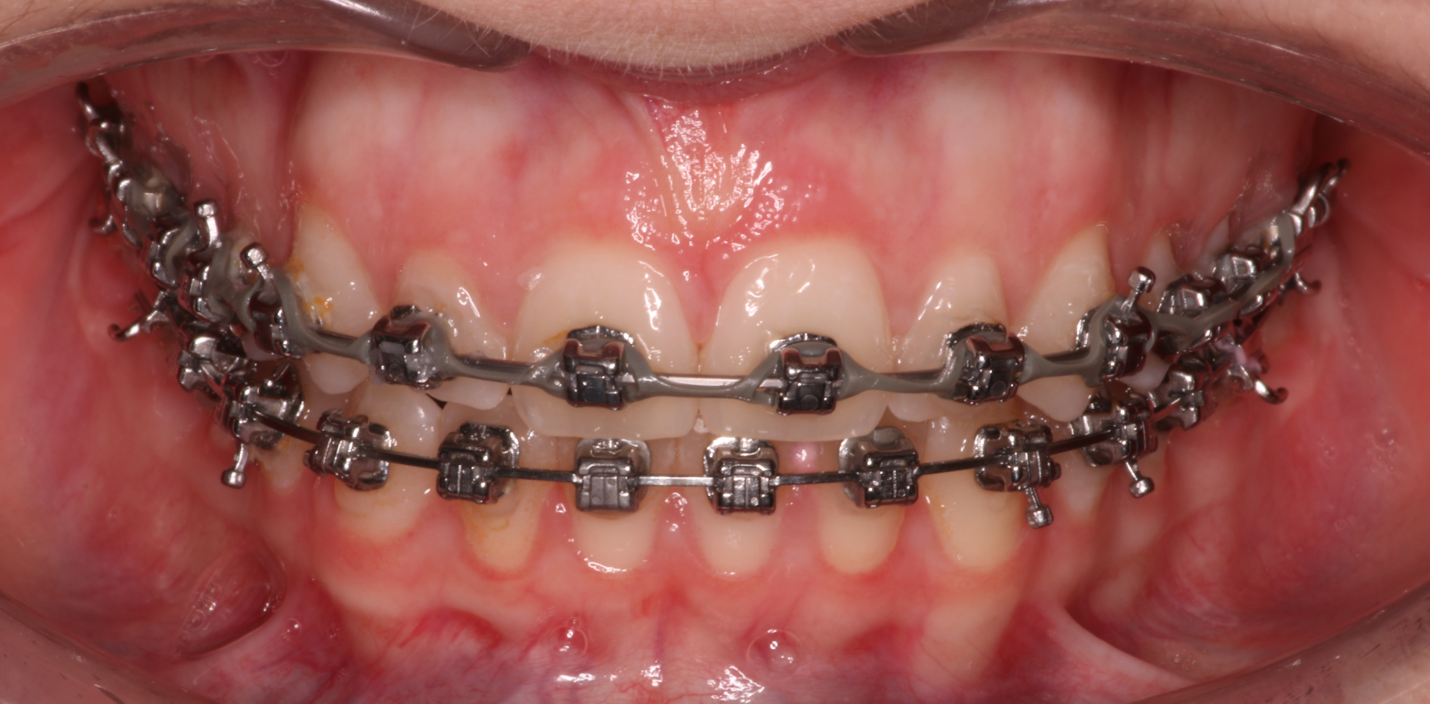
No final deste caso, conseguimos solucionar os problemas estéticos e funcionais do sorriso da paciente.



