A felicidade é para todos!
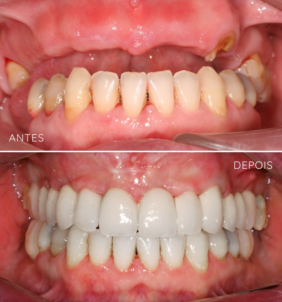
Há já muitos anos que esta paciente utilizava uma prótese removível mal ajustada, que lhe magoava e criava lesões orais, vivendo esta em sofrimento de cada vez que fazia uma refeição e em totalmente desconforto.
O maior sonho e desejo desta paciente era poder comer de forma confortável, sem pensar na dor da sua prótese e na dificuldade que era fazer a mastigação, algo que para muitos é básico mas que neste caso era um momento terrível.
O objetivo era recuperar a fonética, a mastigação e a autoestima da paciente. A solução mais viável era a coloção de implantes fixos.
O primeiro passo foi elaborar o planeamento digital dos implantes dentários e do sorriso final, seguidamente a cirurgia para colocação de implantes dentários e colocação de prótese total fixa no próprio dia e por fim a reabilitação definitiva, após 1 ano.
Agora a sua felicidade foi-lhe devolvida e o que há muitos anos não acontecia, que era a mastigação tranquila como todos devem fazer, agora é algo justo.
